
林戈、卢光琇教授团队在国际上提出人类性别决定的新理论
袁诗敏 闻佳敏 2024年03月08日 09:36 浏览次数:
中南老员工殖与干细胞研究所/中信湘雅生殖与遗传专科医院的林戈卢光琇团队,提出人类性别决定的新理论,相关研究以“A case report of a normal fertile woman with 46,XX/46,XY somatic chimerism reveals a critical role for germ cells in sex determination(一例核型为46,XX/46,XY体细胞异源嵌合体但表型正常的女性揭示了生殖细胞在性别决定中的关键作用)”为题,近日发表于国际知名人类生殖杂志Human Reproduction《人类生殖》。
性别决定是生物进化的结果,也是人类繁衍的基础。现代科学的观点认为,生物界性别决定的方式非常复杂,不同的生物有不同的性别决定方式,例如蜜蜂和蚂蚁的性别由染色体数目决定;鳄鱼、海龟和蜥蜴等爬行动物的性别由环境温度决定;而高等动物,包括人类,则是由性染色体来决定,即46,XX为女性,46,XY为男性。具体是由Y染色体上的SRY基因决定,当有SRY基因时,性别为男性,当没有SRY基因时,则表现为女性。人类在妊娠6周前,胚胎的性腺具有双向分化的潜能,即既可以分化为睾丸,又可以分化为卵巢。但由于Y染色体上SRY的存在,SRY诱导一系列与雄性发育相关的基因的表达,使胚胎发育为雄性。而SRY是在一类称为支持细胞的体细胞中表达的,所以,传统的观点认为是体细胞决定了人类的性别。
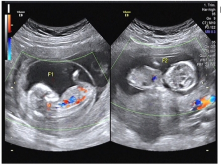
林戈和卢光琇教授,带领团队对一例XX/XY嵌合体的女性进行了详细的研究。该患者曾有过一次妊娠史,后因不孕症寻求辅助生殖技术助孕,其外周血、口腔粘膜、阴道上皮细胞等多种组织均显示其染色体核型为46,XX/46,XY的嵌合体,其中46,XY的比例超过60%。针对为什么患者没有出现男性表型或者两性畸形的表型的科学问题,该团队进行了深入的研究,并发现该患者的外表以及子宫、卵巢、病理切片均为完全正常的女性,在助孕治疗过程中,发现她的卵巢卵母细胞均为XX核型,卵子均为性染色体组成均为X染色体,而颗粒细胞为不同程度的XX/XY嵌合体核型;同时也发现她所有的性别决定与分化的相关基因都没有突变。该夫妇在中信湘雅接受了胚胎植入前遗传学检测(PGT)助孕,并成功怀上了一对双胞胎,值得注意的是其中一个胎儿来自卵泡颗粒细胞染色体100%为XY的卵子。据此,该团队提出了一个新的性别决定理论:人类的性别取决于第5周从卵黄囊经背侧肠系膜迁移而来的原始生殖细胞的性染色体组成,当最初达到性腺嵴的原始生殖细胞性染色体组成为XY时,表现为男性,当性染色体组成为XX时,表现为女性。该患者表现为正常女性,是由于最初达到性腺嵴的原始生殖细胞性染色体组成为XX的结果。
该理论从早期胚胎发育的角度,不仅揭示了原始生殖细胞的性染色体组成是人类性别决定的关键因素,而且还提示46,XX/XY嵌合女性是可以通过辅助生殖技术成功妊娠,消除了这类患者的恐慌,为这类患者的生育治疗提供了方法。
图:46,XX/46,XY嵌合体女性通过辅助生殖技术成功妊娠双胎的影像学图,双胎卵子均为X,其中一个卵子的颗粒细胞100%均为XY核型,一个卵子的颗粒细胞为46,XX/46,XY嵌合体核型
(一审:闻佳敏 二审:谭跃球 三审:黄河)